„Zacząłem się znowu uśmiechać, nie boję się gryźć. Moje życie się zmieniło. Zmieniło się na lepsze. Jestem szczęśliwy!”
Macie podobne problemy? Chcecie je rozwiązać? My możemy Wam w tym pomóc. Serdecznie zapraszamy! Zespół Stomatologii Bez Bólu.
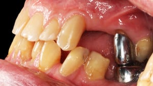
Problem pacjenta.
Brak uzębienia w odcinku bocznym w szczęce w odcinku przednim w żuchwie, diastema, starcia zębów spowodowane licznymi brakami.
Plan leczenia.
- nawoskowanie na modelach protetycznaych przyszłych mostów i licówek (wax-up)
- wizualizacja ostatecznej pracy – wykonanie mock-upu.
- transfer klucza silikonowego do jamy ustnej pacjenta
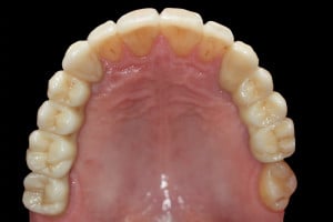
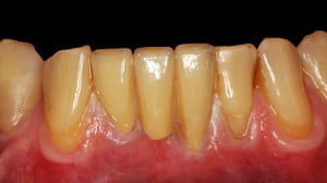
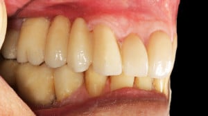
Wykonywanie pracy.
Po zaakceptowaniu planu leczenia przystąpiono do:
- opracowania zębów pod mosty i licówki
- pobrania wycisków i oczekiwanie na gotową pracę protetyczną
- wprowadzenie ostatecznej pracy do jamy ustnej
Placówka medyczna NZOZ Stomatologia Bez Bólu
Leczenie protetyczne: planowanie i aktywna faza leczenia, leczenie retencyjne – lekarz stomatolog Ewa Ziemba








