Pozycjonery – warto wiedzieć
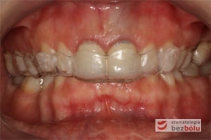
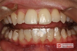
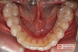
Pozycjonery to system przezroczystych nakładek precyzyjnie dopasowanych do łuków zębowych pacjenta, które przesuwają zęby w odpowiednio zaplanowane i wyznaczone przez lekarza ortodontę miejsca. Stanowią one alternatywne rozwiązanie dla aparatów stałych i ruchomych, jakkolwiek zakres wskazań do ich stosowania jest mocno ograniczony w porównaniu z aparatami stałymi. Są wykonywane indywidualnie dla każdego pacjenta, przez wykwalifikowanego technika dentystycznego.
Zalety pozycjonerów :
- Higieniczne – pozycjoner można w każdej chwili zdjąć i wyczyścić przy pomocy szczoteczki i pasty do zębów, zdejmuje się je także na czas posiłków co zapobiega zaleganiu w nich resztek pokarmowych.
- Estetyczne – są przezroczyste co pozwala bez skrępowania mówić i szeroko się uśmiechać.
- Ekonomiczne – często koszt terapii jest niższy niż standardowe leczenie aparatem stałym.
- Skuteczne (w pewnym zakresie wskazań).
- Wygodne – brak metalowych elementów drażniących błonę śluzową, które są niewygodne i utrudniają higienę. Niedostateczna higiena z kolei prowadzi do demineralizacji i plam wokół zamków jako odwapnienia, a w skrajnych przypadkach mogą być przyczyną próchnicy.
- Nieinwazyjna metoda leczenia, praktycznie bezbolesna, pacjenci szybko adaptują się do nakładek, które w żaden sposób nie pogarszają ich komfortu życia.
Etapy leczenia :
- Konsultacja z lekarzem, podczas której wykonywanie jest szczegółowe badanie pacjenta pod kątem możliwości zastosowania leczenia przy pomocy pozycjonerów.
- Pobranie wycisków masą alginatową.
- Odlanie modelu protetycznego diagnostycznego.
- Powielenie modelu przy pomocy masy silikonowej.
- Wykonanie specjalistycznego modelu poprzez odcięcie wyrostka zębodołowego i separacje poszczególnych zębów, a następnie zespolenie za pomocą wosku modelowego.
- Uwolnienie modelu z formy silikonowej.
- Przesunięcie zębów, każdy ząb może być przesunięty maksymalnie o 0,4 mm.
- Ponowne powielenie modelu po ustawieniu zębów.
- Wykonanie ostatecznego modelu gipsowego celem natłoczenia szyny, izolacja modelu.
- Natłoczenie szyny metodą termoformingu w zależności od metody leczenia dokonujemy wyboru płytki o odpowiedniej grubości (1,0 standardowo ). Materiałem, z którego wykonywane są nakładki jest erkodur.
- Oddanie pacjentowi gotowych nakładek i poinstruowanie o posługiwaniu się nakładkami oraz ich pielęgnacji
Szyna powinna być noszona minimum 20 godzin na dobę, zdejmować ją należy do spożywania posiłków i zabiegów higienicznych. W sytuacji dużej wady i konieczności znacznych przesunięć zębów jeden pozycjoner może być niewystarczający i należy zastosować serię nakładek prostujących zęby. Po zastosowaniu trzech kolejnych szyn pacjent powinien zjawić się na wizytę kontrolną. Konieczna jest dyscyplina pacjenta, zgłaszanie się na regularne wizyty kontrolne i stosowanie się do zaleceń odnośnie retencji, mającej na celu utrwalenie efektów leczenia.
Jest to rewolucyjna terapia ortodontyczna, która dzięki szerokiemu spektrum zastosowań jest coraz częściej rekomendowana pacjentom, zwłaszcza w tych czasach, które przynoszą coraz wyższe oczekiwania estetyczne i funkcjonalne pacjentów związane z ich aktywnością sportową, towarzyską i zawodową.











