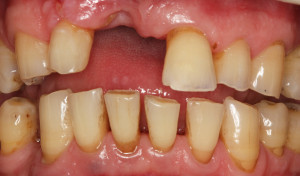
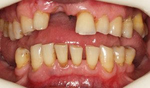
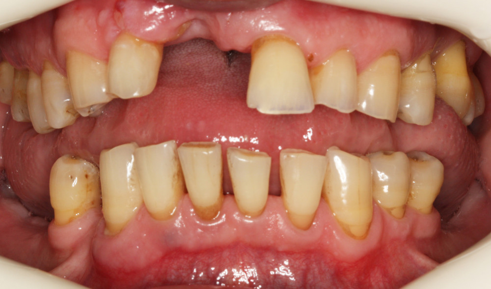
Pacjent zgłosił się do placówki zaniepokojony stanem swojego uzębienia i chęci poprawy komfortu podczas żucia: liczne starcia zębowe w szczęce i żuchwie, pęknięcia szkliwa, ruchomość zębów, braki międzyzębowe oraz skrzydłowe w żuchwie. Głównym problemem była utrata siekacza górnego przyśrodkowego prawego (11), luka uzupełniona w innym gabinecie w postaci mikroprotezy. Rozwiązanie to nie satysfakcjonowało Pacjenta.
Kompleksowe leczenie rozpoczęto od higienizacji profesjonalnej oraz instruktarzu higieny.
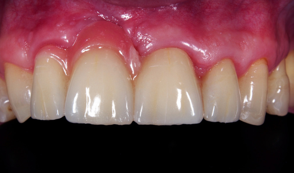
W rejonie 11 wykonano tomografię komputerową celem oceny diagnostyki implantologicznej. Bardzo małe zasoby kości w trzech wymiarach klasyfikowały Pacjenta do zabiegów regeneracyjnych przed implantacją. Jako rozwiązanie alternatywne zaproponowano wykonanie mostu w odcinku 12-22 wraz z odbudową różowego dziąsła.
Plan leczenia:
Wyrównanie płaszczyzny zgryzu poprzez bezpreparacyjną, bezpośrednią kompozytową odbudowę zębów siecznych górnych i dolnych, odbudowa braku zęba 11 poprzez wykonanie mostu prettau 12-22 z techniką różowego dziąsła, odbudowa braków międzyzębowych i skrzydłowych w żuchwie poprzez wykonanie protezy szkieletowej estetycznej.
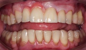
Sytuacja wyjściowa
Mock-up w ustach Pacjenta, celem wizualizacji spodziewanych efektów.
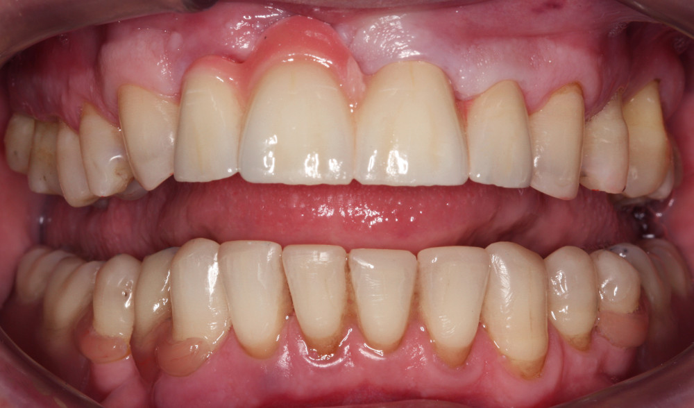
Most prowizoryczny na podstawie Wax-up.
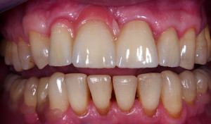
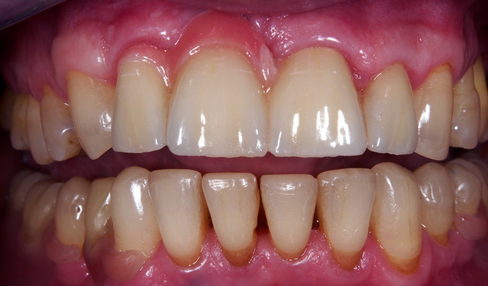
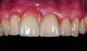
Pełna rekonstrukcja zwarcia .
Zdjęcia:
|
|
|
|
|
|
|
|
|







