Protetyczna odbudowa zębów w szczęce
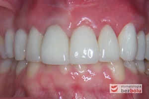
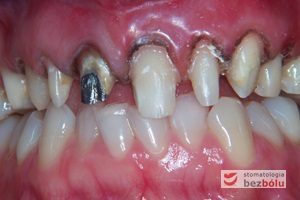
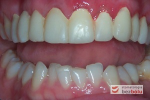
Młoda i urodziwa pacjentka zgłosiła się celem poprawy kształtu i koloru swoich zębów w szczęce a także korekty istniejących wad zębowych i deficytu kła po stronie prawej, będącego przyczyną przesunięcia linii pośrodkowej na stronę prawą. Wykonano estetyczne korony pełnoceramiczne w przednim odcinku łuku górnego, które zacementowano na filarach zębów własnych pacjentki. Proponowane leczenie ortodontyczne zostało przez pacjentkę odrzucone.
Protetyczna faza kliniczna: lekarz dentysta implantolog Magdalena Żywicka
Wykonawstwo laboratoryjne: technik dentystyczny Piotr Górski






