Wspomnienie sprzed 12 lat #znajdźróżnice
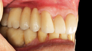
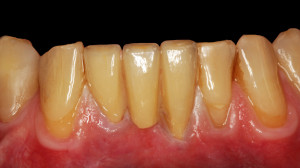
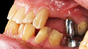
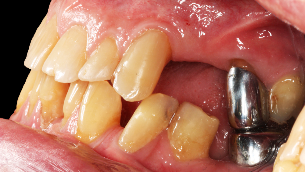
Problem pacjenta.
Brak uzębienia w odcinku bocznym w szczęce w odcinku przednim w żuchwie, diastema, starcia zębów spowodowane licznymi brakami.
Plan leczenia.
Zawierał nawoskowanie na modelach protetycznaych przyszłych mostów i licówek, by z wizualizować pacjentowi ostatenczą pracę i przetranswerować ją za pomocą klucza silikonowego do jamy ustnej pacjenta – wykonanie mock-upu.
Wykonywanie pracy.
Po zaakceptowaniu planu leczenia przystąpiono do opracowanie zębów podmosty i licówki. Następnym etapem było pobranie wycisków i oczekiwanie na gotową pracę protetyczną .
Placówka medyczna NZOZ Stomatologia Bez Bólu
Leczenie ortodontyczne: planowanie i aktywna faza leczenia, leczenie retencyjne
Przeprowadził leczenie lekarz: dr Ewa Ziemba-Popławska








