OdNOWA uśmiechu
Dokument o tym… Jak pracujemy! Co robimy! Fotografia zastępuje milion słów.
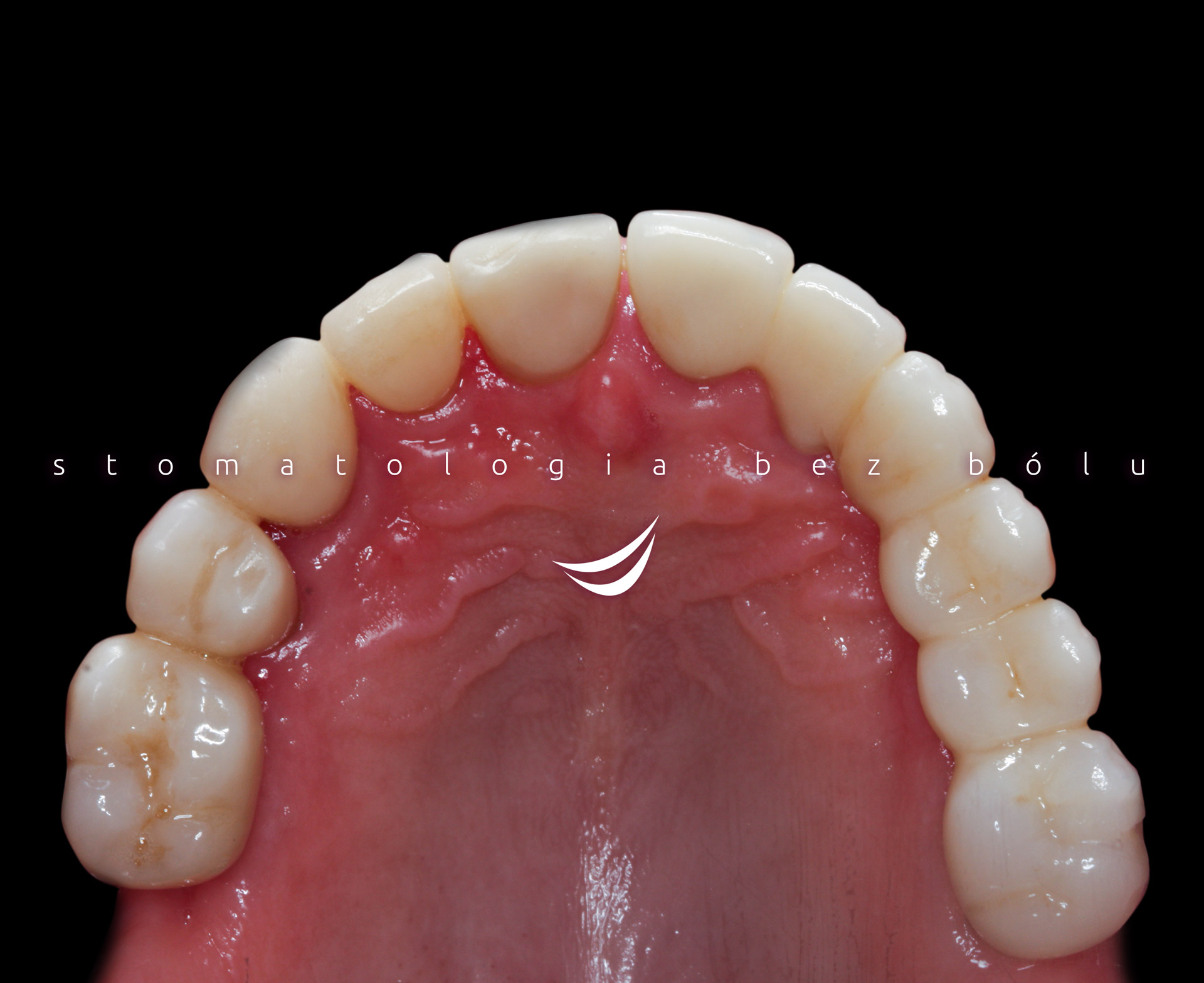
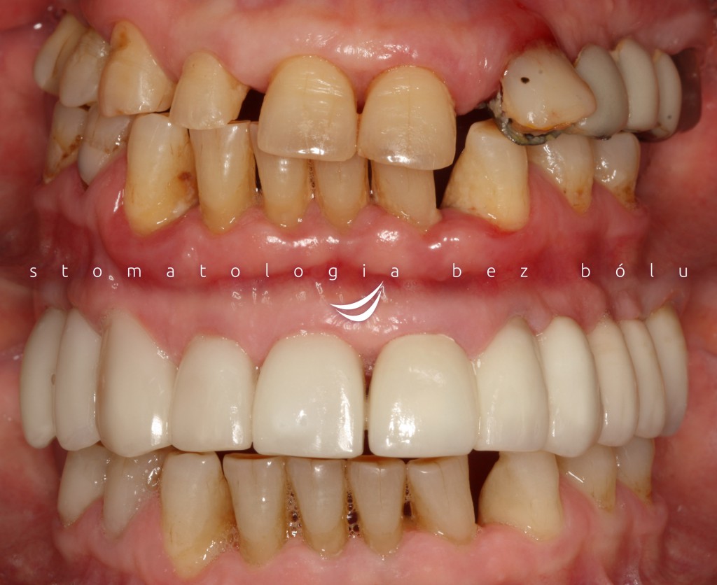
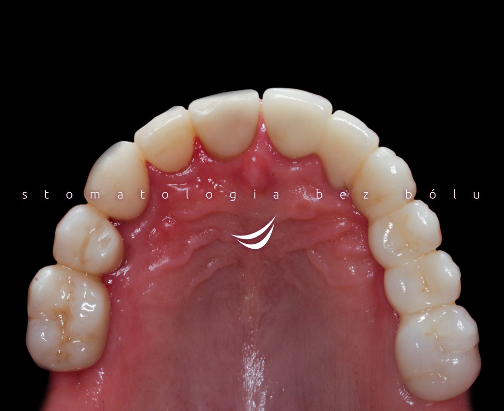
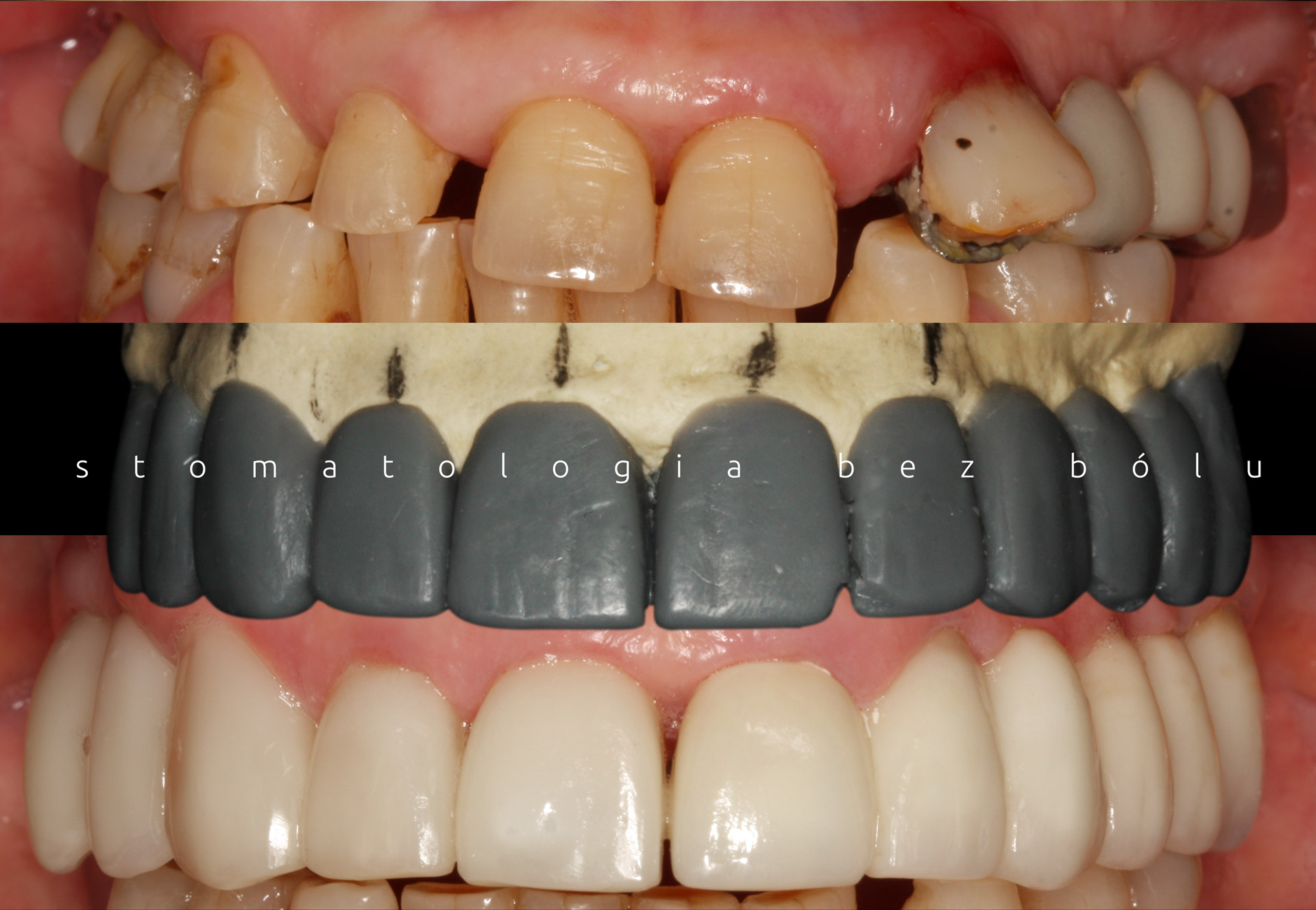
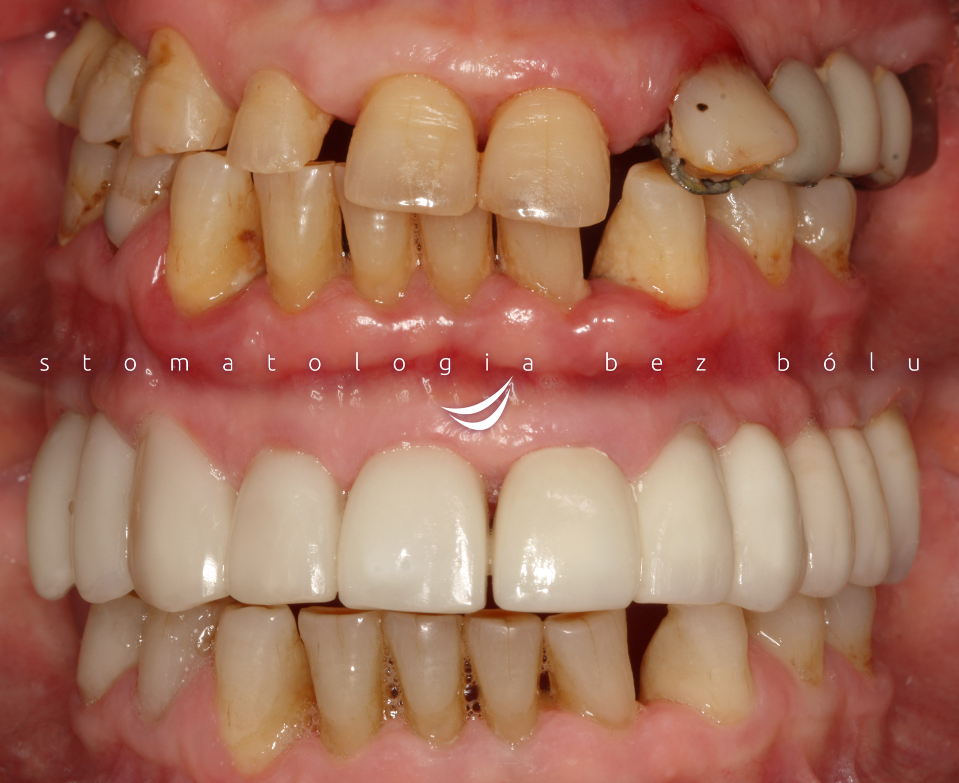
Pacjentka z brakami w uzębieniu i znaczącą szparowatością w łuku górnym zleciła nam wykonanie rekonstrukcji uzębienia tylko w szczęce. Nie chciała protezy wyjmowalnej. Nie chciała też implantów. Braki w uzębieniu po stronie lewej zostały zastąpione mostem cementowanym pomiędzy dwójką a szóstką górną lewą.
Pozostałe pojedynce zęby po stronie prawej zostały zaopatrzone koronami cyrkonowymi. Oczekując na powrót pacjentki liczymy, że uzupełniające działania w zakresie zębów dolnych, spowodują, że praca będzie służyła przez długie łata, będąc stabilną i estetyczną.







