Leczenie kanałowe z odbudową na Fibre Core
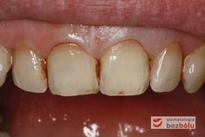
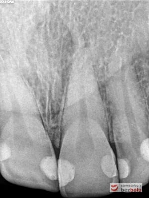
Pacjentka lat 37 zgłosiła się z silnymi dolegliwościami bólowymi siekacza centralnego na górze po stronie lewej. Ząb był w trakcie leczenia kanałowego w innej placówce. Jedno wizytowe leczenie kanałowe polegało na starannej instrumentacji kanału korzeniowego oraz wypłukaniu podchlorynem sodu, a następnie starannym odtłuszczeniu i wysuszeniu systemu korzeniowego. Kanał został szczelnie zamknięty metodą termokondensacji ciśnieniowej przy pomocy instrumentarium, tj. system B i Obtura. Kontrola radiologiczna potwierdziła szczelność wypełnienia oraz ujawniła obecność kanałów bocznych, które bez starannego wypełnienia mogłyby stać się przyczyną infekcji w obrębie wyrostka zębodołowego. Wypełnione kanały boczne przypominały dymiące fabryczne kominy. Leczenie zostało zakończone odbudowaniem zrębu koronowego z udziałem ćwieka z włókna szklanego, który został otulony materiałem kompozytowym nanohybrydowym. Jedno wizytowe sprawne leczenie endodontyczne przyniosło pacjentce natychmiastową ulgę, a odbudowa korony zredukowała ryzyko złamania zęba.









