Przejdź do treści
oferta
cennik
o nas
zespół
dla pacjenta
Kontakt
oferta
cennik
o nas
zespół
dla pacjenta
Kontakt
umów wizytę
ZADZWOŃ:
Jelenia Góra
+48 75 6424558
Uśmiechu odNOWA – Jak to osiągnąć?
19 stycznia, 2021
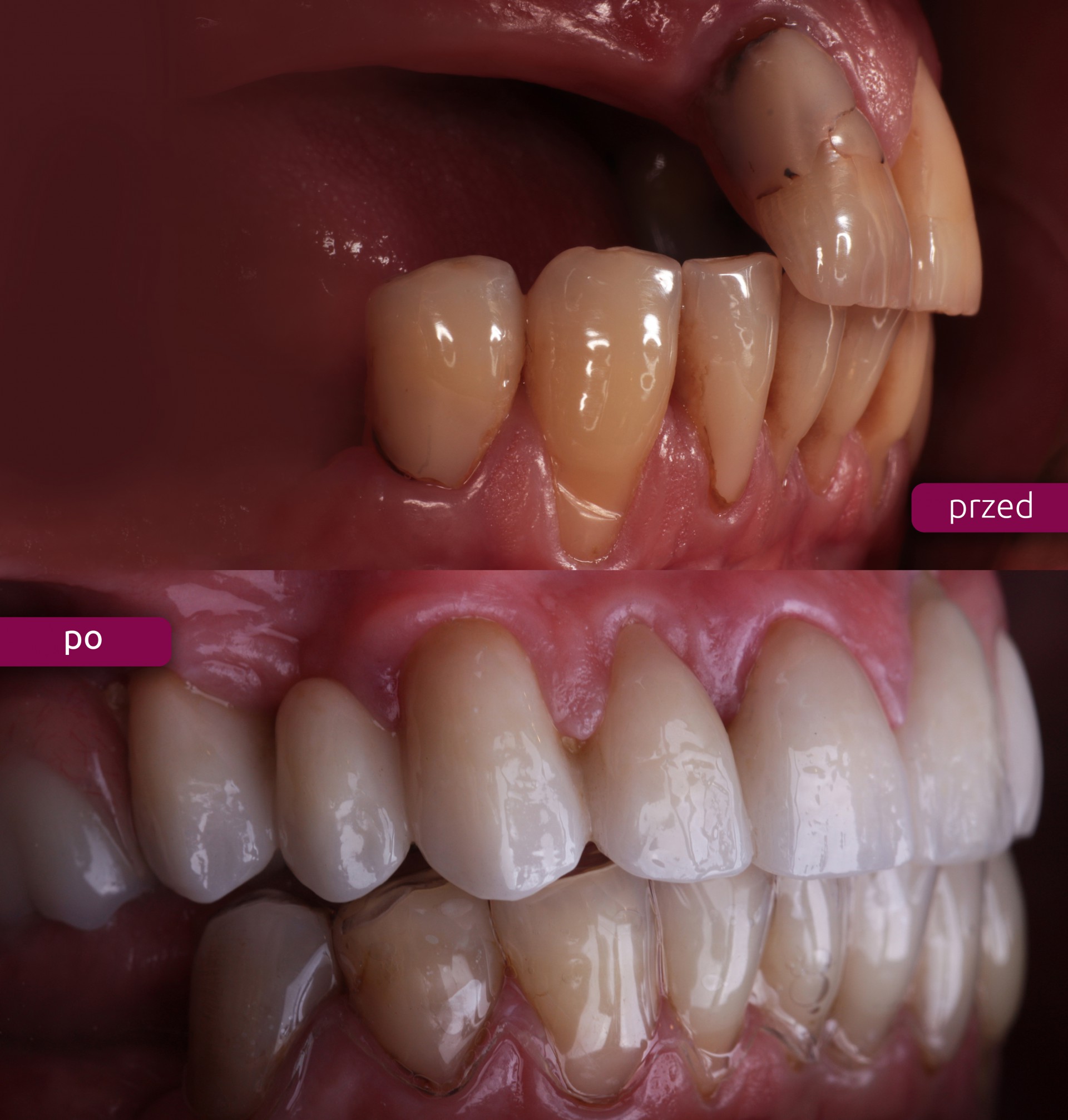
Most cyrkonowy z zatrzaskami kulowymi utrzymującymi protezę szkieletową
[metaslider id=13413]
PODZIEL SIĘ:
Prev
Poprzedni
Reguły stosowania maseczki chroniące drogi oddechowe
Następny
OdNOWA uśmiechu
Następny
Menu
oferta
cennik
o nas
zespół
dla pacjenta
Kontakt
oferta
cennik
o nas
zespół
dla pacjenta
Kontakt
umów wizytę
Dla Pacjenta
poradnik rodzica
pierwsza wizyta
poradnik pacjenta
dokumenty/zgody
System ratalny
poradnik rodzica
pierwsza wizyta
poradnik pacjenta
dokumenty/zgody
System ratalny
O nas
o placówce
aktualności
zespół
sprzęt i technologie
praca
grupa Dentity
o placówce
aktualności
zespół
sprzęt i technologie
praca
grupa Dentity
Oferta
implantologia
stomatologia estetyczna
stomatologia zachowawcza
leczenie endodontyczne
chirurgia stomatologiczna
protetyka
ortodoncja
profilaktyka i higiena
stomatologia dziecięca
rtg
metamorfozy
implantologia
stomatologia estetyczna
stomatologia zachowawcza
leczenie endodontyczne
chirurgia stomatologiczna
protetyka
ortodoncja
profilaktyka i higiena
stomatologia dziecięca
rtg
metamorfozy
Kontakt
Oferta
implantologia
stomatologia estetyczna
stomatologia zachowawcza
leczenie endodontyczne
chirurgia stomatologiczna
protetyka
ortodoncja
profilaktyka i higiena
stomatologia dziecięca
rtg
metamorfozy
implantologia
stomatologia estetyczna
stomatologia zachowawcza
leczenie endodontyczne
chirurgia stomatologiczna
protetyka
ortodoncja
profilaktyka i higiena
stomatologia dziecięca
rtg
metamorfozy