Rozdzielenie bliźniąt
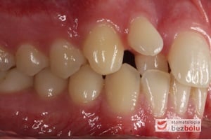
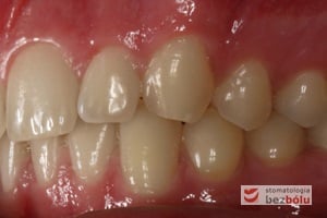
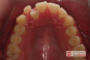
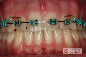
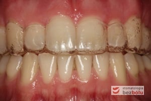
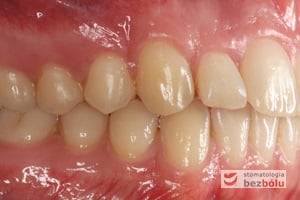
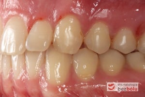
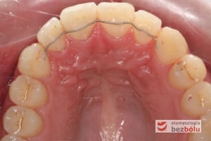
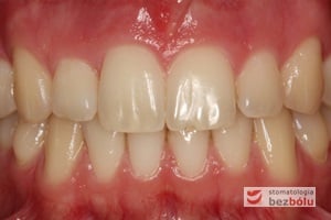
Młody 28-letni, pogodny, stale uśmiechnięty pacjent zgłosił się celem korekcji wad zębowych ograniczających pełną ekspresję uśmiechu. Głównym problemem był dodatkowy siekacz boczny (dwójka) po stronie prawej w łuku górnym. Dodatkowy ząb spowodował stłoczenia pozostałych zębów w łuku górnym oraz przesunięcie linii pośrodkowej. Obliczenia dostępnego miejsca dla siekacza bocznego wpłynęły na wybór zęba przeznaczonego do ekstrakcji. Usunięto dwójkę ustawioną dowargowo, zaś jej „siostrę bliźniaczkę” skierowaną w stronę podniebienia wprowadzono do łuku zębowego w drodze leczenia ortodontycznego. Problemem było szczelne zamknięcie szpary poekstrakcyjnej z powodu nadmiaru miejsca w kości. Wyrównano linię pośrodkową. Leczenie przeprowadzono jednym łukiem ortodontycznym górnym, dolny łuk zębowy nie wymagał założenia aparatu. Po zdjęciu zamków korekcję detali przeprowadzono z użyciem pozycjonera wykonanego w technice termoformingu. Stabilizację efektów leczenia zapewnił stały retainer klejony do powierzchni podniebiennych siekaczy górnych.
Leczenie ortodontyczne: planowanie i aktywna faza leczenia, leczenie retencyjne – lekarz stomatolog Magdalena Żywicka i lekarz stomatolog Marta Pakuła
























