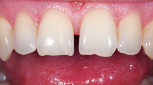
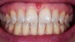
Zamknięcie diastemy
Nie podoba Ci się szpara między przednimi zębami? W Stomatologii Bez Bólu zlikwidujemy diastemę nawet na jednej wizycie!
Jedną z metod zamknięcia małej diastemy jest całkowicie bezinwazyjna, bezpreparacyjna a przede wszystkim bezpośrednia odbudowa kompozytowa, a Ty już po jednej wizycie możesz cieszyć się odmienionym uśmiechem.
Poniżej przedstawiamy opis przypadku zamknięcia diastemy pomiędzy siekaczami centralnymi wykonany na jednej wizycie.
![]() |
![]() |
![]() |
![]() |
![]() |
![]() |






